Protetica

Before & After Gallery – Real Patient Results Belgrade

Dobrodošli u našu Galeriju radova, gde možete videti primere transformacija koje postižemo kroz napredne stomatološke tretmane – od rešavanja bezubosti do kreiranja savršenog osmeha u oblasti estetske stomatologije.

Rešavanje bezubosti

U ovoj sekciji možete da pogledate rezultate naših naprednih stomatoloških tretmana koji su osmišljeni da vam vrate osmeh i samopouzdanje.

Posebno se ponosimo našim stručnim pristupom rešavanju bezubosti, uključujući revolucionarne All-on-4 i All-on-6 tretmane.

Zahvaljujući ovim metodama, naši pacijenti dobijaju trajna, funkcionalna i estetski savršena rešenja. Pregledajte fotografije i uverite se u transformativnu moć moderne stomatologije.

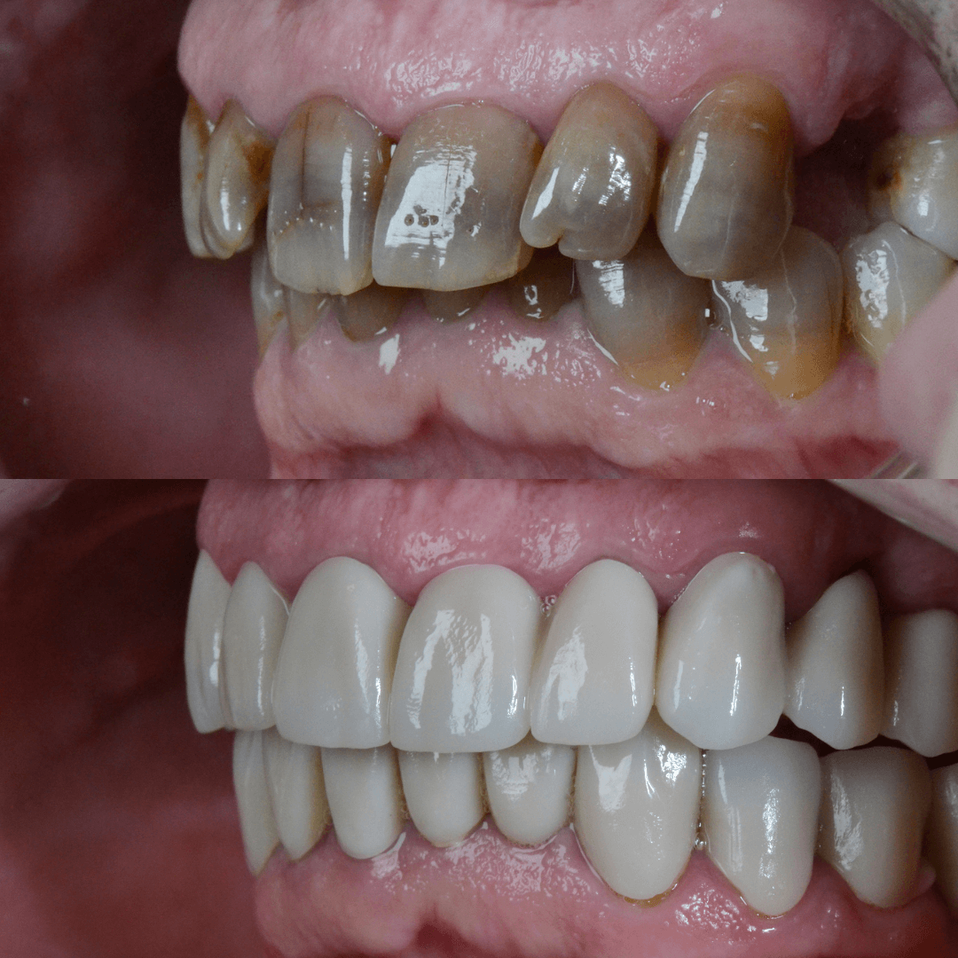
Estetska stomatologija

Izuzetno smo ponosni na rezultate koje postižemo u oblasti estetske stomatologije, gde transformišemo osmehe našim pacijentima. Ovde možete videti primere naše stručnosti u radu sa bezmetalnim krunicama, krunicama i popularnim tretmanima poput Hollywood smile-a.

Svaki osmeh je jedinstven, a naš zadatak je da Vam pomognemo da ostvarite osmeh koji je baš po Vašoj meri. Uverite se zašto nam pacijenti poklanjaju svoje poverenje.