
Oseointegacija — Kako Telo Prihvata Zubni Implantat i Zašto Je Ključna za Uspeh
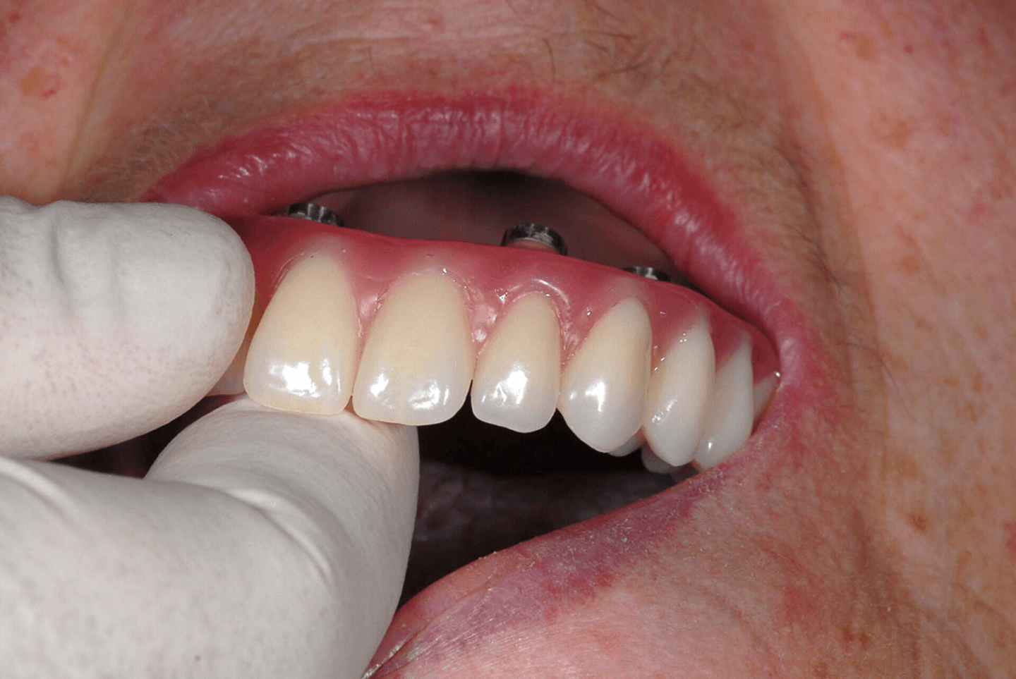
Sedite u stomatološkoj stolici. Zubar je upravo ugradio titanijumski vijak u vašu vilicu. Operacija je završena, dobili ste uputstvo za negu, i krenuli ste kući.

Sedite u stomatološkoj stolici. Zubar je upravo ugradio titanijumski vijak u vašu vilicu. Operacija je završena, dobili ste uputstvo za negu, i krenuli ste kući.

Konačno ste se odlučili za implante. Otišli ste kod zubara, pregledali ste vavilicu, i zubar vam je rekao da ste dobar kandidat. Ali onda dolazi

Rečeno vam je da „nemate dovoljno kosti“ za implantate — šta to zapravo znači? Sedite u zubarskoj stolici, gledate u rendgenske snimke, i čujete rečenicu

Kada vam nedostaje zub — ali koštana masa nije dovoljna za standardni implantat Zamislite situaciju: odlazite kod zubara sa jasnom željom — hoćete zubni implantat.

Svakog dana u ordinaciji čujemo istu dilemu: „Doktore, isplati li se uopšte proteza na klik — ili je klasična totalna proteza dovoljna?“ To je jedno

Zamislite ovu scenu: Milica, 58 godina iz Beograda, godinama nosi totalnu protezu koja klizi, otežava joj razgovor i sprečava je da uživa u omiljenim jelima.

Vadio je 6 zuba u jednoj poseti. Sedeo je u autu i gledao u retrovizor — praznina tamo gde su bili zubi delovala je neverovatno.

Kada je Mirjana prvi put ušla u ordinaciju zbog totalne proteze, pitala je samo jedno: „Hoću li izgledati ko ja?“ Nije joj bilo toliko stalo

„U mojim godinama, ima li smisla?“ — Pitanje koje čujemo svaki dan Svake nedelje u našoj ordinaciji sedne pred nas pacijent između 65 i 80

„I koliko to zapravo traje?“ — Pitanje koje svaki pacijent postavi na kraju Zamislite scenu: sedite u fotelji stomatološke ordinacije, upravo ste čuli sve prednosti

Jedno od prvih pitanja koje pacijenti postavljaju kada čuju za protezu na klik je: „Dobro, zvuči odlično — ali koliko to košta?“ Razumljivo. Reč je

Zamislite ovaj trenutak: sedite u fotelji zubara, srce vam lupa malo brže nego inače, i pitate se — kako zapravo izgleda taj ceo proces? Šta